【导读】
银屑病是一种与免疫反应相关的慢性皮肤疾病,它会使得表皮增生和分化异常。多种体外单层模型(也称为“2D模型”)和体内模型已广泛用于研究银屑病,然而这两类模型均有明显的局限性:2D模型不能反映人类皮肤中不同种类细胞之间的相互作用;体内模型主要是小鼠模型,由于物种间的差异,从小鼠到人体的推断缺乏准确性。相比之下,重建皮肤等效物(RSE)是一种生理相关性的模型,因为它们仅包含人源性细胞以及细胞外基质,且具有完整的屏障功能、3D结构和免疫反应。
最近,韩国CHA大学的B. R. Mok等研究者在《Pharmaceutics》期刊上撰文发表了一种重建皮肤等效物(RSE),结果证明,这种RSE在不使用外源材料的情况下再现了天然人类表皮和真皮的组织形态和结构,符合OECD TG439准则的要求,并且通过向培养基添加IL-17A体外银屑病样构建了银屑病模型。
RES模型与人体模型相似性
自组装的RSE模型是一种3D皮肤等效物,包括完全来自人类的表皮和真皮。如图1,首先通过让成纤维细胞在体外分泌的细胞外基质中培养4周来制备成纤维细胞薄层。随后,将角质细胞接种到成纤维细胞片上生长,通过对这些成纤维细胞薄层和成纤维细胞-角质细胞组合层进行堆叠片来制备全层皮肤。经过14天的气液界面培养,在不使用外源细胞外基质蛋白或合成材料的情况下,产生了完全分化的皮肤等效物。
图1. 自组装组织工程方法构建体外RSE模型
自组装的RSE模型表现出类似人类皮肤的组织学形态,包括一个完全分化的多层表皮和一个富含ECM的真皮(图2a-e)。此外,还观察到一个结构良好的基底膜。TEM分析显示,自组装的RSE含有基底膜的大部分成分,如半透明体、透明层和透明层,以及复杂缠绕的角蛋白丝(图2c)。结果中能观察到纤丝,并且像人类皮肤一样,RSE的纤丝也会延伸到真皮中会加强表皮和真皮之间的结合。KRT10在人类皮肤的上基底层表达[20],同样的表达模式也出现在自组装的RSE中,这表明自组装的RSE与正常人类皮肤一样经历了正常的表皮分化(图2d)。除了表皮层,自组装的RSE在真皮层也表现出丰富的胶原束,为RSE提供了结构支持(图2e)。同样地,从免疫荧光染色分析的结果中也能找到相关的屏障蛋白与紧密连接蛋白。聚丝蛋白和总苞蛋白在颗粒层中表达(图2f,g);此外,ZO-1和CLDN-1在RSE模型的所有层中都被证实表达(图2h,i)。

图2. 组装RSE模型的组织形态学。(a)根据组织工程的自组装方法产生的全厚度皮肤等效物的宏观方面;(b)通过H&E染色比较NHS和全分化自组装RSE模型(Bar=100µm);(c)TEM自组装RSE模型的基膜结构;(d)通过免疫组化染色分析NHS和自组装RSE模型之间KRT10蛋白表达的比较(Bar=100µm);(e)通过Masson三色染色(左,Bar=100µm)、SEM(中,Bar=5µm)和TEM(右,Bar=200µm)分析自组装RSE真皮中的胶原蛋白;(f–i)自组装RSE模型中(f)聚丝蛋白、(g)总苞蛋白、(h)ZO-1和(i)claudin-1的免疫荧光染色分析(Bar=100µm,n=4)。NHS:正常人皮肤;RSE:重建皮肤等效物。
自组装RSE模型的生物反应性
根据OECD TG439的性能标准,使用1%的Triton X-100、SDS和20种参考化学品测量组织的活力,从而研究自组装RSE的生物功能。通过MTT试验评估了50%的有效时间(ET50),此外在使用SDS进行MTT测定后,测量了半数最大抑制浓度(IC50)(图3a,b)。接下来,根据OECD TG439准则,使用20种参考化学品、10种非刺激性物质和10种刺激性物质,评估了自组装的RSE筛选化学毒性的能力。根据联合国全球化学品统一分类标准(图3c),自组装的RSE表现出90%的特异性,100%的敏感性,以及95%的准确性。结果表明,自组装的RSE在TG439准则方面表现出色,并可以成为代替动物皮肤进行刺激性试验的重要工具。
图3. OECD指南推荐的化学-毒性测试物质清单。(a)根据1% Triton X-100处理时间和减少50%组织活力所需的暴露时间,自组装的RSE模型的相对活力(n = 3);(b)根据各种SDS浓度和减少50%组织活力所需的抑制浓度,自组装的RSE模型的相对活力(n = 3);(c) 20种物质的自组装RSE模型的组织活力(n = 3)。颜色用于区分化学物质种类。NC:阴性对照;PC:阳性对照。
体外银屑病样RSE模型的建立
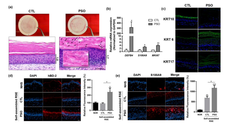
为了评估自组装RSE是否可用于疾病建模,研究使用IL-17A建立银屑病皮肤模型。在气液界面培养过程中,将IL-17A细胞因子加入到培养基中。在加入IL-17A的气液界面培养2周后,银屑病RSE模型的表皮比对照组模型的表皮更白、更厚。该模型的组织学分析显示存在银屑病表皮特征,如过度角质化、棘皮病、角化不全和颗粒层减少(图4a)。事实上,证实在银屑病RSE模型中,Ki67的表皮增殖标志物MKi67的表达增加(图4b)。此外,在这个银屑病皮肤模型中,角蛋白亚型的表达模式发生了改变,即KRT6和KRT17表达增加,而KRT10则表达下降(图4c)。相反,银屑病相关的炎症标志物, 如IL-1b、hBD2和S100A9,在mRNA(图4b)和蛋白质(图4d,e)层面上都明显表达增加。结果表明自组装RSE模型再现了银屑病的宏观和组织学表型,并且在3D结构中显示了疾病特异性特征。
图4. IL-17A诱导的自组装RSE模型的银屑病表型。(a)自组装的银屑病RSE模型的组织学分析(Bar = 100 µm,n = 4)。(b)通过RT-qPCR分析自组装的RSE模型中DEFB4、S100A9和MKI67的mRNA表达。(c)自组装的银屑病RSE模型中KRT6、KRT10和KRT17的免疫荧光染色分析(Bar = 50 µm,n = 4)。(d)正常人皮肤和自组装的RSE中HBD-2的免疫荧光染色。(Bar = 50 µm, n = 4)。(e)正常人皮肤和自组装的RSE中HBD-2的免疫荧光染色。(Bar = 50 µm, n = 4)。RSE:重建皮肤等效物;NHS:正常人的皮肤;PSO: 银屑病RSE。(* p < 0.05; ** p < 0.01; *** p < 0.005)
结论
该研究团队开发了一种自组装皮肤等效物(RSE),在无需使用外源材料的条件下模拟全层人类皮肤。通过免疫组织化学染色、透射电镜和扫描电镜观察,发现自组装RSE的结构和形态与正常人皮肤相似:具有完全分化的表皮层,显示出良好的基底膜,包括半桥粒、致密层、透明层和纤丝,也像在正常人皮肤中一样表达屏障蛋白和紧密连接蛋白。除了与人类皮肤的形态学和组织学相似外,RSE在预测刺激性化学物质方面符合OECD标准,表明在表皮分化和屏障功能方面再现了人体皮肤的特性。此外,使用IL-17A细胞因子成功地再现了银屑病表皮表型,这表明自组装的RSE在建模和研究炎症性皮肤的发病机制方面以及在这些疾病的药物测试中都具有潜在的应用。
【文献来源】
Mok, B.R.; Shon, S.-J.; Kim, A.R.; Simard-Bisson, C.; Martel, I.; Germain, L.; Kim, D.H.; Shin, J.U. Structural and Functional Validation of a Full-Thickness Self-Assembled Skin Equivalent for Disease Modeling. Pharmaceutics 2022, 14, 1211. https://doi.org/10.3390/pharmaceutics14061211